The ARIETTA 750 has many advanced and unique probes that fully cover the expanding range of procedures that benefit from ultrasound guidance.
See All Transducers
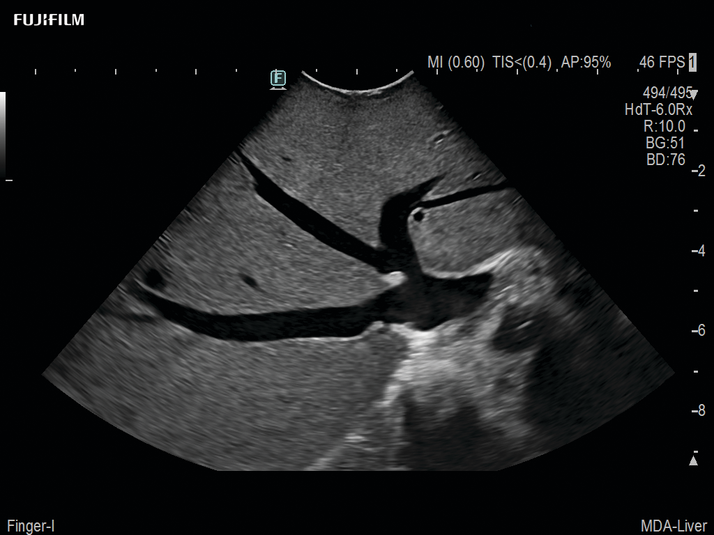
Curved array deep penetration “I” style finger-grip transducer for open kidney surgical procedures. Allows for palpating organs and scanning at the same time.
Curved array 4-way laparoscopic transducer for better visualization of targeted lesions, providing instant feedback on tumor margin delineation.
Linear array side-fire “T” transducer for open surgical procedures, providing exceptional near and far-field resolution.
Wide-view side-fire “T” transducer for open surgical procedures, providing exceptional near and far-field resolution, as well as trapezoid imaging to further expand visibility.
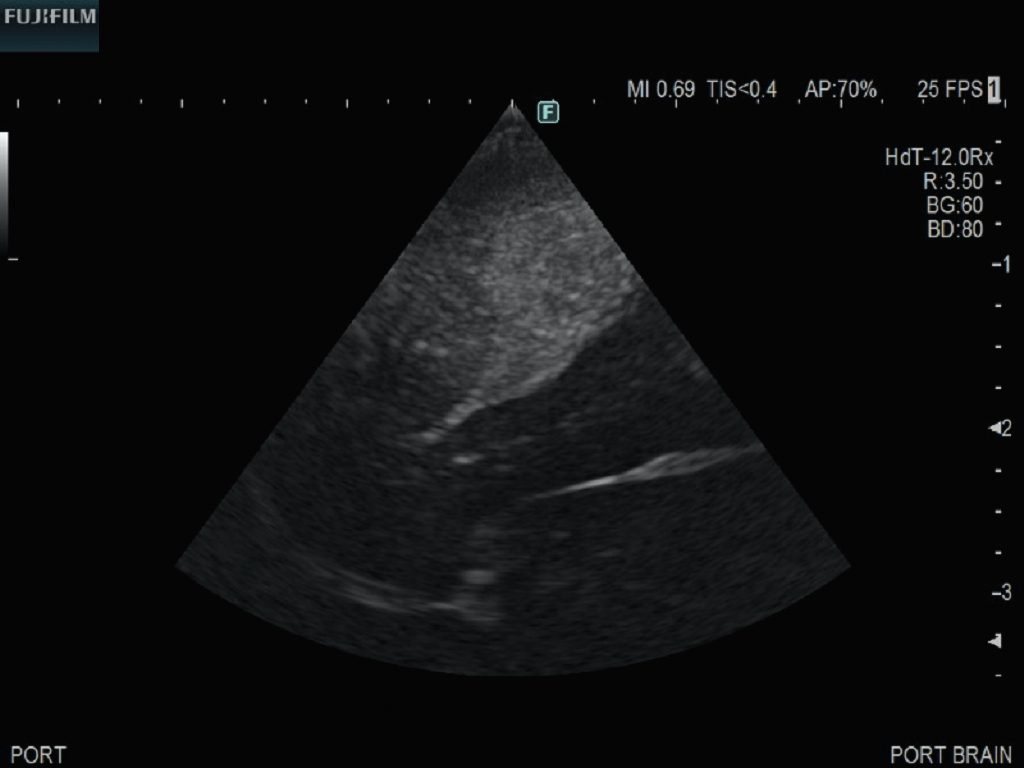
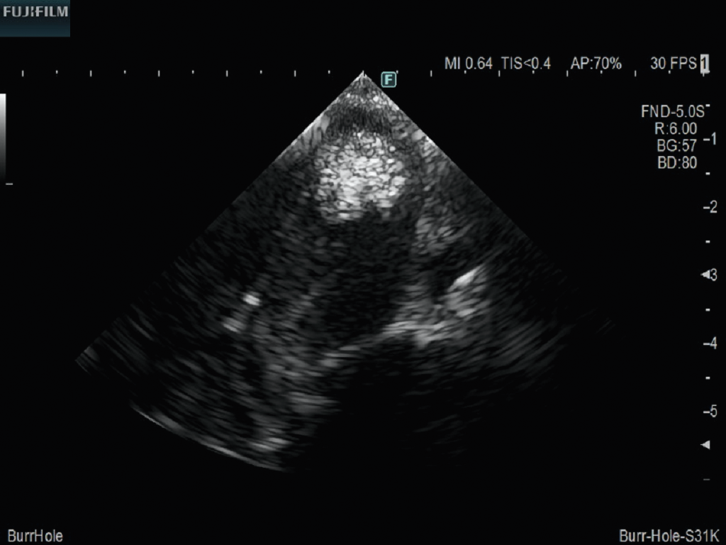
The world’s only phased array burr-hole transducer that is ideal for scanning during burr-hole guidance procedures. It offers a unique bayonetted design & exceptional near and far-field resolution.
Exclusive 10mm side-fire linear array transducer with 2.87mm diameter is ideal for real-time visualization through and behind structures and instant, scalable definition of anatomy and vascularity including the ability to delineate and define tumor margins.
Subcortical guidance with precise access, improved efficiency and better results.
Hockey-stick linear array transducer is the transducer of choice for spinal scanning, providing exceptional near and far-field resolution. Its low profile design lends itself perfectly to the spatial confines of spinal surgery.
Designed to provide maximum simplicity, user efficiency, and portability. From its compact footprint to its intuitive, time-saving user interface, the ARIETTA 750 was engineered for the increasing workloads of today’s busy surgical environments.
Visibility
Tilt, swivel, and height adjustable. Designed specifically for the OR.
PROGRAMMABLE PRESETS
Fully customizable presets for each user.
Efficient Workflow
Utilize the pre-set configurations, easy transducer selection, and optimized image allocation, all with the touch of just a few buttons.
LCD Monitor
With a high contrast ratio and wide viewing angle, the 23 inch LCD monitor gives a rich representation of the display image.
Hygienic
Smooth surfaces for easy wipe-down. Compatible with commonly used disinfectants.
Mobility
Easily moves from room to room, delivering real-time guidance effortlessly.
State-of-the-art digital architecture and advanced imaging features to redefine the capabilities of surgical ultrasound.
This website uses cookies. By using this website you consent to our use of these cookies. For more information visit our Privacy Policy.
Got it