Fujifilm Healthcare understands that neurosurgeons demand excellence in their operating rooms — from their staff and the equipment they depend on. Fujifilm Healthcare's dedication to neurosurgery provides outstanding ultrasound technology, professional support, and the specialized tools necessary to best perform comprehensive real-time ultrasound imaging.
For precise neurosurgery ultrasound imaging, Fujifilm Healthcare offers premium level solutions that include:
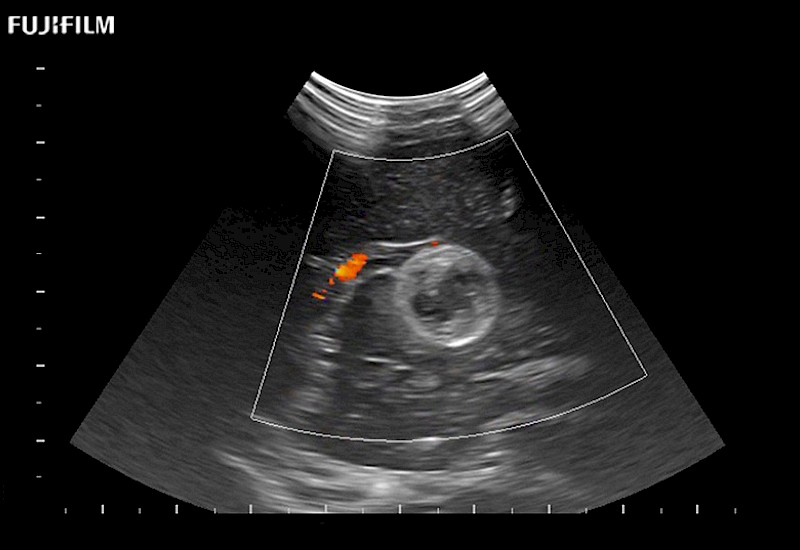
for use during: Cranial guidance, Burr-Hole guidance, Spinal Cord guidance, Pituitary guidance, Micro-Surgery guidance
to meet specific needs
designed to work with your transducers
Our dedication to neurosurgery allows us to offer superior image quality, outstanding system reliability and intuitive use of cutting edge technology.
The world's only phased array burr-hole transducer that is ideal for scanning during burr-hole guidance procedures.
Main Specifications:
Smaller footprint (20mm) curved array transducer that is ideal for scanning during cranial guidance procedures.
Main Specifications:
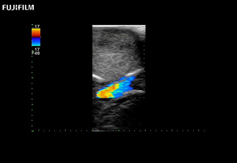
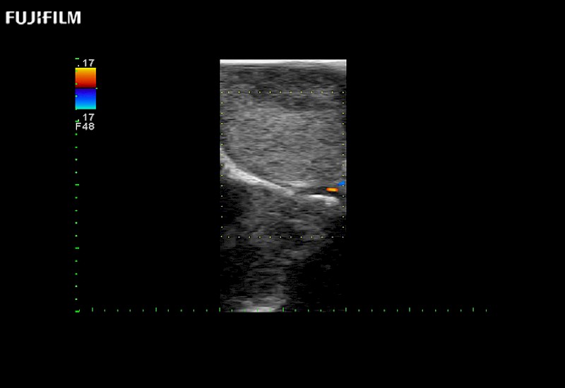
Exclusive 10mm side‐fire linear array transducer with 2.87mm diameter is ideal for real‐time visualization through and behind structures and instant, scalable definition of anatomy and vascularity including the ability to delineate and define tumor margins.
Main Specifications:
Hockey-stick linear array transducer is the transducer of choice for cervical spine scanning.
Main Specifications:
Main Specifications:
The ARIETTA 750 incorporates all of the proven technologies and functions that medical professionals have come to expect from Fujifilm Healthcare.
ARIETTA 750 is the definitive diagnostic ultrasound solution for any clinical setting - Private Office, Imaging Center, or Hospital. The ARIETTA platform provides the ultimate in clinical performance with its state-of-the-art features and large user-friendly display.
Learn more
The ARIETTA 650 DI integrates the trusted technologies and features that neurosurgeons rely on from Fujifilm Healthcare.
ARIETTA 650 DI is the ideal guidance solution for the OR. The ARIETTA platform delivers exceptional clinical performance with advanced capabilities and a large, intuitive display designed for ease of use.
Learn moreFujifilm Healthcare continues to listen to the experts, our neurosurgeons, by developing an ultrasound system specifically designed for the Operating Room.
Guidance is the fundamental purpose for all of our surgical ultrasound technology. Fujifilm Healthcare is committed to designing tools that help neurosurgeons navigate inside the human body and provide the necessary information to immediately make critical surgical decisions.
With the ARIETTA Precision the next level of surgical ultrasound is here.
Learn more
Request a demo or contact us and we can help.
This website uses cookies. By using this website you consent to our use of these cookies. For more information visit our Privacy Policy.
Got it